It’s time to close the gap in
post-fracture osteoporosis care

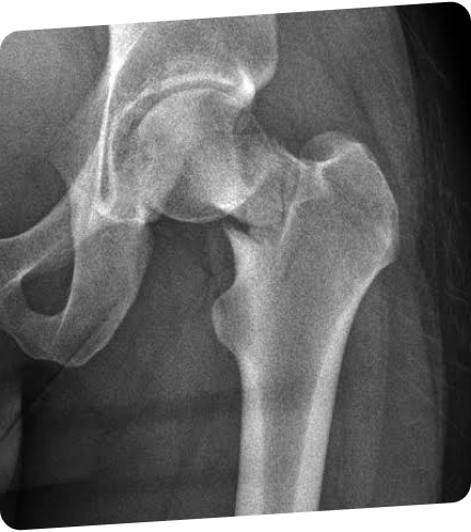
In women > 50 years of age,
83% remain undiagnosed and 88% remain untreated one year after experiencing a fracture1,*
Working together, we can improve care, reduce fractures, and make a difference for millions.

Introduction to bone biology
This video provides a unique opportunity to observe the cellular processes of bone formation and resorption.

*Data are from a patient claims dataset from IQVIA for women over age 50 diagnosed with or treated for osteoporosis, had a fragility fracture, or with at least one medical or pharmacy claim between January 2019–December 2023. Fractures were counted if there was a diagnosis or procedure code for a fragility fracture of the hip, vertebra, femur, pelvis, humerus, radius/ulna, tibia/fibula, or clavicle. For patients with at least one fragility fracture between January 2019–December 2022, claims records were examined for post-fracture care, including the number of patients with a diagnosis code, DXA scan code, or a prescription for an osteoporosis treatment.1

References: 1. Data on File, Amgen; 2024. 2. Akesson K, Marsh D, Mitchell PJ, et al. Capture the Fracture: a Best Practice Framework and global campaign to break the fragility fracture cycle. Osteoporos Int. 2013;24:2135-2152. 3. Cosman F, de Beur SJ, LeBoff MS, et al. Clinician's guide to prevention and treatment of osteoporosis. Osteoporos Int. 2014;25:2359-2381.